
Clínica dental Iturralde
Siempre buscando la excelencia dental
En Clínica Dental Iturralde, ubicada en Tafalla (Navarra), la experiencia se une a la innovación para ofrecerte una atención odontológica integral de la más alta calidad
Con un equipo altamente cualificado y más de 40 años de trayectoria, nuestra pasión por la odontología nos impulsa a estar a la vanguardia en tecnología y técnicas punteras, con instalaciones modernas que garantizan resultados óptimos.
Especialistas en Ortodoncia Invisible con alineadores y Odontología Estética
Desde hace casi 20 años, Clínica Dental Iturralde se ha convertido en un referente internacional en Ortodoncia invisible (Invisalign®) y Odontología Estética.

Ortodoncia invisible con alineadores
Pioneros en la implementación de Invisalign® en España, ofrecemos tratamientos personalizados.

Odontología estética
Especialmente en tratamientos multidisciplinares estéticos de blanqueamiento dental y carillas.
Referente en Implantología y Estética Dental
En nuestra clínica dental en Navarra te ofrecemos tratamientos de implantología a medida para recuperar dientes ausentes.
Gracias a la colocación de implantes biocompatibles de titanio, podrás disfrutar de una rehabilitación completa y duradera.
Realizamos intervenciones mínimamente invasivas e indoloras, con un índice de éxito cercano al 100%, asegurando una gran capacidad de integración con el hueso maxilar (osteointegración) y una óptima tolerancia del implante por parte de los tejidos blandos.
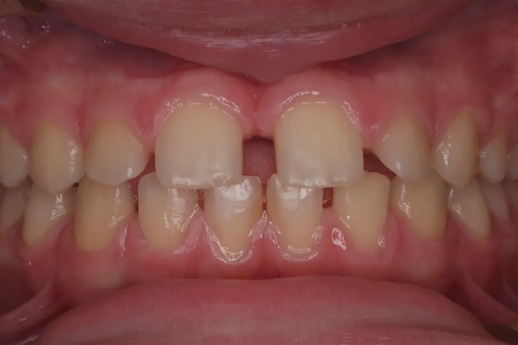
Casos clínicos
Te invitamos a conocer el antes y el después de pacientes que han confiado en nosotros para obtener una sonrisa sana y estética.
Ofrecemos soluciones específicas, así como tratamientos multidisciplinares que combinan la experiencia de diferentes especialistas, adaptándonos a las necesidades y expectativas de cada caso.
Mordida
abierta

Combinados
con Carillas

Diastemas
(Espacios)

Combinados
con invisalign

Nuestros últimos reconocimientos nos avalan
Premio a la Contribución como Speaker – Align Stars Experience
Premio a la clínica como precursora y pionera en la utilización de la digitalización con escáner intraoral en tratamientos con alineadores
Premio por la contribución en la excelencia clínica y su aportación a nivel internacional
Premio Internacional al mejor tratamiento multidisciplinar
¿Qué opinan nuestros pacientes?
EXCELENTE A base de 349 reseñas Amanda Acedo Suberviola2026-02-05 No solo son excelentes profesionales, actualizados con las mejores técnicas disponible, sino que la atención, trato y paz que te ofrecen es vital para que la experiencia deje buen “ sabor de boca” . De las higienistas y personal de atención al público solo decir que son equiparables, muy profesionales , amables y siempre dispuestas a darte lo mejor de ellas mismas. En resumen, un equipo maravilloso . Maiorga Ramirez2026-01-29 Una clínica de diez, con instalaciones de vanguardia y profesionales atentos, amables y muy eficientes. Jose Maria Velasco2026-01-28 Muy profesionales y muy bien atendido. Leire Elcid2026-01-26 Un servicio excelente como siempre Íñigo Hernaiz2026-01-22 Increíble experiencia. Dentistas muy atentos, cuidadosos y profesionales. Se nota que les importa cada paciente. 100% recomendados. David Ros2026-01-22 Profesionalidad y excelente trato

Sello de calidad Best Quality Dental Centers
Trabajamos sin franquicias, apostamos por una atención personalizada y honesta, centrada en el paciente. Estamos avalados por Best Quality Dental Centers (BQDC), una asociación de clínicas dentales de confianza en España y Portugal con una dilatada trayectoria como clínicas individuales que aporta una garantía de calidad.
Sociedades con las que participamos












Pide cita, te ayudaremos
Te asesoramos de manera personalizada para ofrecerte el tratamiento más adecuado a tus necesidades, garantizando tu salud, función y estética bucodental.
Responsable: D. Juan José Iturralde Armendáriz
Finalidad: Responder a su consulta. Legitimación: Consentimiento del interesado. Destinatarios: Los datos quedarán almacenados en nuestro servidor, alojado en Arsys Internet S.L.U. No se comunicará a terceros. Derechos: Acceso, rectificación, supresión, limitación, portabilidad y olvido de los datos. Más información: Política de privacidad